home

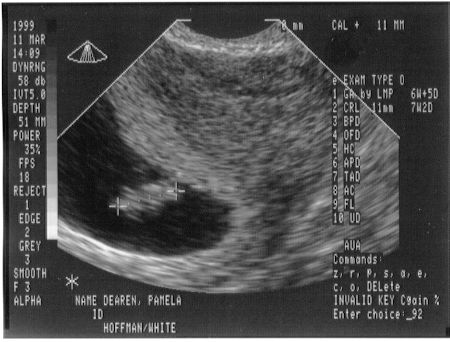
This is me at 7 weeks and 2 days. Mom and Dad got to see my heart beating for the first time.